NUESTROS SERVICIOS

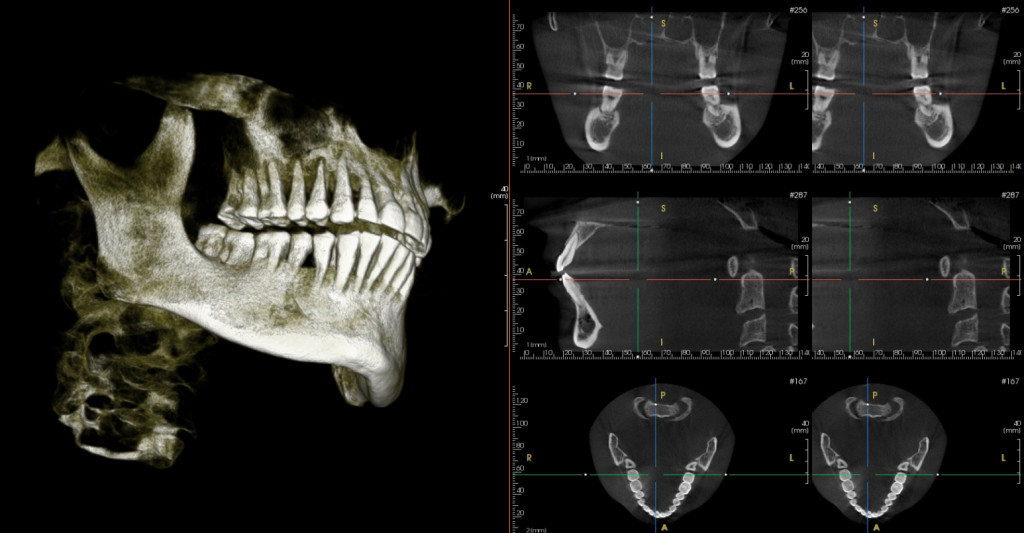
TOMOGRAFÍA 3D
Este estudio de Radiología dental es lo más moderno en diagnóstico, es realizada por medio de un tomógrafo, al momento el único en Machala, permite ver en todos los planos del espacio cualquier estructura dental y ósea de cabeza y cuello, incluso se puede manipular las imágenes para cambiar contrastes, acercamientos y giros en todos los planos del espacio. Estos estudios con recibidos por el profesional o paciente por el moderno sistema Drop-Box, que consiste, en que el estudio siempre estará en un nube virtual, pudiendo acceder a estos en cualquier lugar del mundo.

TESTIMONIOS
Asistí a Ortodiagnóstico en Loja para que me tomen las radiografías previas al tratamiento de Ortodoncia, fue muy interesante ver equipos tan modernos, toda su infraestructura y la calidad del servicio. Yo hice mi post grado en Buenos Aires Argentina y me llamó la atención saber que en Loja hay un centro de esta categoría al igual que en las grandes ciudades del mundo.
Por un problema dental necesité una radiografía panorámica, la cual fue tomada en Ortodiagnóstico Machala, la calidad de la misma fue excelente sobre todo la eficiencia y al rapidez de la atención me impresionó mucho.
Mi dentista quería revisar los terceros molares por este motivo requerí de una radiografía panorámica, la cual fue tomada en Ortodiagnóstico Cuenca, lo equipos, infraestructura y amabilidad me llamo mucho la atención, recomendaría su siempre sus servicios.

