CONTACTOS:             2841 213    0958956247 (CUENCA)         |     2960 357     0995158929 (MACHALA)         |     2720 163      0987213742 (LOJA)         |

NUESTROS SERVICIOS

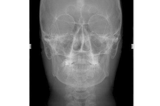
CEFÁLICA FRONTAL

Realizado para Ortodoncia y Cirugía Máxilo Facial,  el estudio cefalométrico  se realiza sobre esta radiografía, el cual consiste en hacer trazos que determinan ejes de crecimiento, posición de los maxilares, inclinación de los dientes, tamaños de los huesos, desviaciones y asimetrías dentales y esqueletales, etc. Valores que permitirán un diagnóstico y plan de tratamiento en estas especialidades.

TESTIMONIOS