CONTACTOS:             2841 213    0958956247 (CUENCA)         |     2960 357     0995158929 (MACHALA)         |     2720 163      0987213742 (LOJA)         |

NUESTROS SERVICIOS

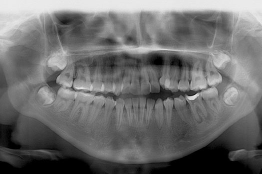
PANORÁMICA

Esta radiografía da una vista panorámica de todos los dientes, es un estudio que se debe hacer de rutina para comenzar cualquier procedimiento en odontología, así mismo el odontólogo la debe solicitar obligadamente a los 6 años de edad para revisar como vendrá el recambio dental, a los 12 años para verificar el recambio dental y a los 18 años para revisar los terceros molares (muelas del juicio), las cuales dan muchos inconvenientes a futuro por falta de espacio y mala posición. De igual manera este estudio permitirá ver patologías en los huesos maxilares, tamaño de raíces dentales, nivel de hueso en el que están soportados los dientes.

TESTIMONIOS