NUESTROS SERVICIOS

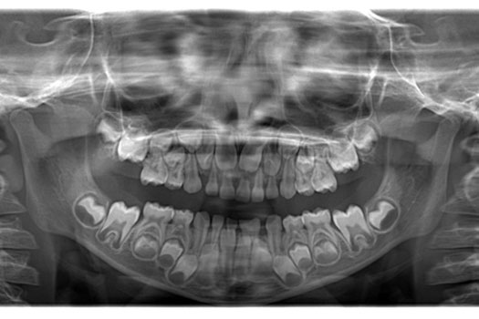
PANORÁMICA PEDIÁTRICA
Da una vista panorámica de todos los dientes, es un estudio que se realiza a los niños desde tempranas edades hasta los 12 años, se debe hacer de rutina para comenzar cualquier procedimiento en odontología pediátrica, permite visualizar la secuencia de erupción dental, hacer predicción de los espacios requeridos para los dientes definitivos y verificar la formula dentaria (exceso o falta de dientes). Así mismo este estudio permitirá ver patologías en los huesos maxilares, tamaño de raíces dentales, nivel de hueso en el que están soportados los dientes.

TESTIMONIOS
Asistí a Ortodiagnóstico en Loja para que me tomen las radiografías previas al tratamiento de Ortodoncia, fue muy interesante ver equipos tan modernos, toda su infraestructura y la calidad del servicio. Yo hice mi post grado en Buenos Aires Argentina y me llamó la atención saber que en Loja hay un centro de esta categoría al igual que en las grandes ciudades del mundo.
Por un problema dental necesité una radiografía panorámica, la cual fue tomada en Ortodiagnóstico Machala, la calidad de la misma fue excelente sobre todo la eficiencia y al rapidez de la atención me impresionó mucho.
Mi dentista quería revisar los terceros molares por este motivo requerí de una radiografía panorámica, la cual fue tomada en Ortodiagnóstico Cuenca, lo equipos, infraestructura y amabilidad me llamo mucho la atención, recomendaría su siempre sus servicios.

