NUESTROS SERVICIOS

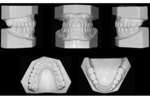
MODELOS DE ESTUDIO
Utilizado como elemento diagnóstico y legal debe hacerse al inicio y al final de cualquier tratamiento odontológico, es una reproducción exacta de los arcos dentales con su mordida.

TESTIMONIOS
Asistí a Ortodiagnóstico en Loja para que me tomen las radiografías previas al tratamiento de Ortodoncia, fue muy interesante ver equipos tan modernos, toda su infraestructura y la calidad del servicio. Yo hice mi post grado en Buenos Aires Argentina y me llamó la atención saber que en Loja hay un centro de esta categoría al igual que en las grandes ciudades del mundo.
Por un problema dental necesité una radiografía panorámica, la cual fue tomada en Ortodiagnóstico Machala, la calidad de la misma fue excelente sobre todo la eficiencia y al rapidez de la atención me impresionó mucho.
Mi dentista quería revisar los terceros molares por este motivo requerí de una radiografía panorámica, la cual fue tomada en Ortodiagnóstico Cuenca, lo equipos, infraestructura y amabilidad me llamo mucho la atención, recomendaría su siempre sus servicios.

